

Microabrasion
Brown spot removal
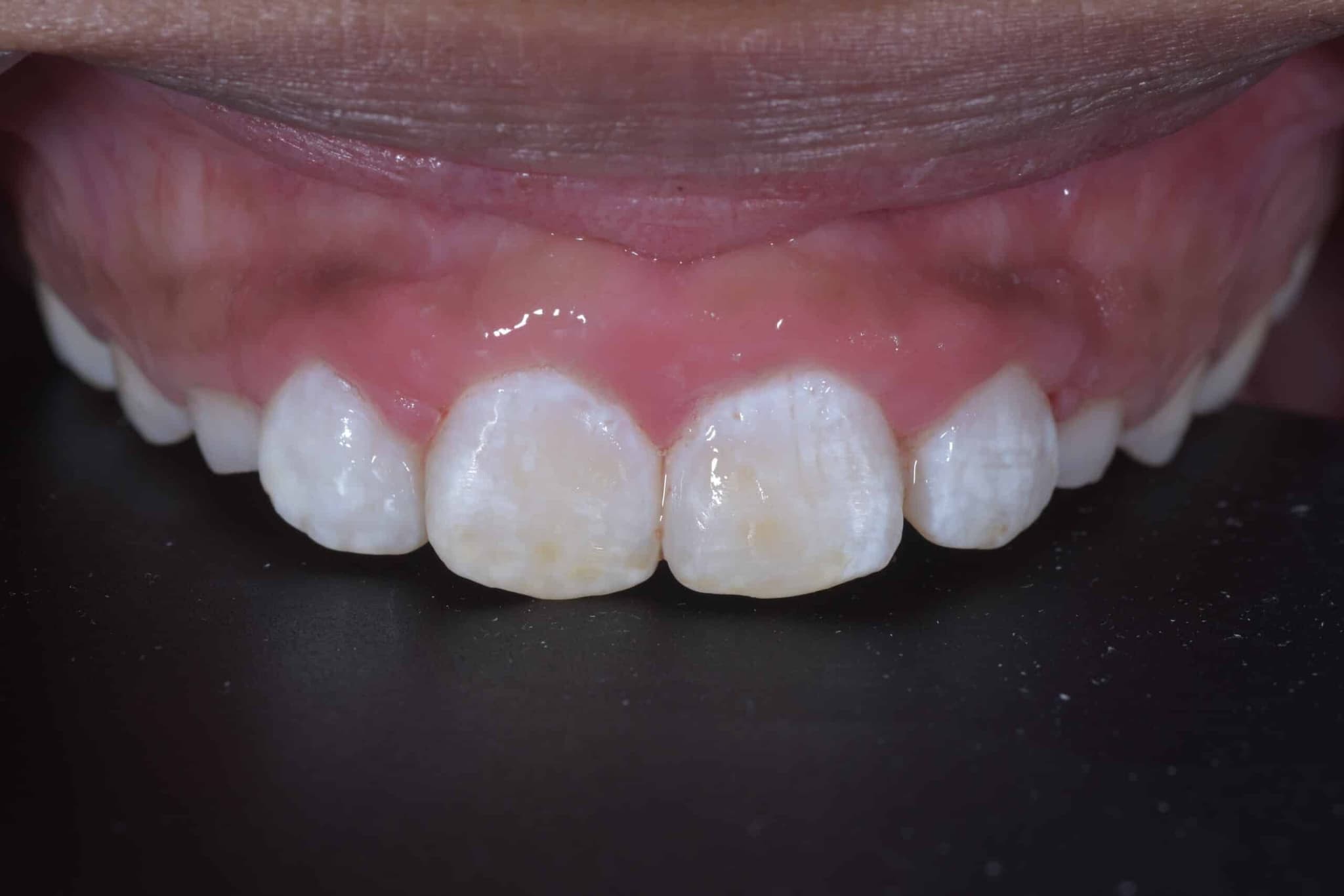
Microabrasion is a cosmetic treatment that helps to remove discolouration in the teeth. It removes a superficial layer of enamel however it is still a very minimally invasive procedure. It is mainly used on white or brown spots which can form when the teeth are developing. The most common cause of this is dental fluorosis. This is a condition which affects the enamel (outer layer) of the tooth when developing. It is usually caused from excess fluoride consumption.
Sometimes, ICON or composite bonding treatment may be needed after microabrasion to improve the result further.
Watford
Address
Watford Smile Clinic
2 Cunningham Way
Watford
Hertfordshire
WD25 7NL
Nayan's working hours
Monday — 09:00 - 17:00
London
Address
Harley Street Dental Studio
52 Harley Street
Marylebone
London
W1G 9PY
Nayan's working hours
Tuesday — 09:30 - 18:00
Wednesday — 09:30 - 18:00
Solihull
Address
Ascent Dental Care
1 Arden Buildings, Station Rd
Dorridge
Solihull
B93 8HH
Nayan's working hours
Thursday — 09:00 - 17:30
Friday — 09:00 - 17:00
Get in touch
Simply fill out the form below about your dental needs and we'll be in touch shortly.