Cosmetic Dentistry Services
Functional aesthetic dentistry

Composite Bonding
Lets improve the shape, shade and symmetry of your teeth

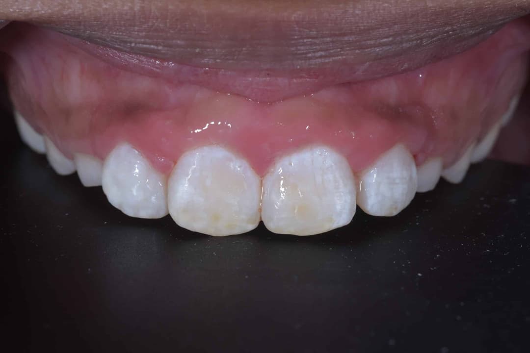
ICON
White spot removal
Invisalign
Lets straighten your teeth

Microabrasion
Brown spot removal

Porcelain Veneers / Crowns
Lets protect, improve the shape, shade, and symmetry of your teeth

Teeth Whitening
Lets improve the colour of your teeth
