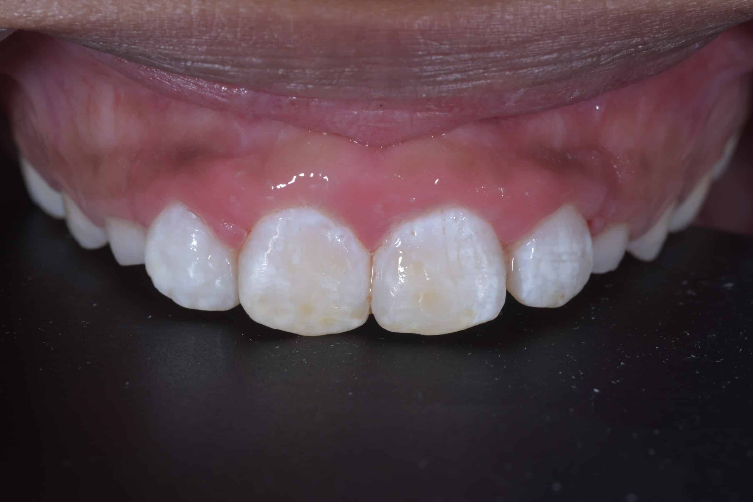
Microabrasion
Brown spot removal

Microabrasion is a cosmetic treatment that helps to remove discolouration in the teeth. It removes a superficial layer of enamel however it is still a very minimally invasive procedure. It is mainly used on white or brown spots which can form when the teeth are developing. The most common cause of this is dental fluorosis. This is a condition which affects the enamel (outer layer) of the tooth when developing. It is usually caused from excess fluoride consumption.
Sometimes, ICON or composite bonding treatment may be needed after microabrasion to improve the result further.